11月11日,上海,寒潮来袭,气温骤降,寒风凛冽。当天下午,在上海蓝十字脑科医院,一场与生命赛跑的“战斗”正在紧张进行。一位女性脑动脉瘤患者突发脑出血昏迷并呼吸停止,命悬一线。最终,经急诊科、神经外科、神经重症监护室、影像科、麻醉科、导管室等多学科联动,紧密配合,接力救治,成功将其从死亡线上拉了回来。
就医途中突发动脉瘤破裂出血,陷入昏迷
患者王女士今年30岁。11月10日早上,她在吃过早饭后,出现头痛、头晕、恶心、干呕,手脚控制不利等症状,去当地医院行头颅CT检查提示,右侧桥脑高密度结节,未能明确诊断。当天下午她在家属陪同下在某三甲医院预约核磁共振检查,但要等到四天之后。之后,医生给予药物治疗,但是第二天(11月11日),症状仍然不见好转。家属心急如焚,在网上了解到上海蓝十字脑科医院核磁共振可以当天检查当天出片以后,当天下午遂立即赶至医院。
做完核磁共振后,门诊医生吴胜军主任初步判断脑动脉瘤,建议立即住院进一步检查治疗。当时,王女士一家来的匆忙,又住的较远,遂准备回家考虑后再做决定。但是,意外总是在瞬间发生。当时,王女士看完门诊,准备上个洗手间就回家。“我在门口等了五六分钟,还不见她出来。”家属感觉到不对劲,立即冲进卫生间,发现王女士晕倒在地。

▲ 动脉瘤破裂出血十分凶险
多学科密切合作奋力抢救,患者脱离生命危险
见状,家属立即呼叫,医院急诊科闻讯后,立即携推车将患者送到抢救室。当时,患者意识不清,呼喊无应答,急诊医护团队立即给予心电监护,血氧饱和度监测,氧气吸入;患者意识呈昏迷状态,体温36.2摄氏度,血压86/35毫米汞柱,血氧饱和度95%,心率88次/分,呼吸2次/分(五分钟后,呼吸0次/分),查看患者双侧瞳孔散大,对光反射均迟钝,直径约为4.0毫米;立即予心肺复苏胸外心脏按压,并给予肾上腺素等药物进行抢救。
在神经外科6A病区、急诊科、麻醉科等多学科团队努力抢救下,患者意识苏醒,恢复自主呼吸,生命体征均平稳。医护团队抓住时机,遂立即转影像科行头颅CT,显示蛛网膜下腔出血。做完CT检查返回急诊抢救室后,患者再次昏迷,并出现四肢抽搐症状,再次予以抢救。最终,患者意识终于恢复清醒,生命体征平稳,遂转入神经重症监护8A病房。
结合之前的核磁共振检查,上海蓝十字脑科医院神经外科学术副院长、神经外科6A病区主任于耀宇考虑,患者颅内动脉瘤破裂蛛网膜下腔出血并破入脑室。

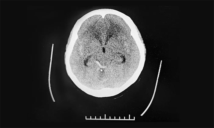
▲ CT显示蛛网膜下腔出血

▲ 于耀宇主任在和患者家属沟通患者病情
时间就是生命,多学科协作成功“拆弹”
“动脉瘤破裂是脑出血的一种,它会突然发生,短时间内极容易多次出血。首次出血死亡率30%,二次出血死亡率60%,三次出血几乎100%死亡。”于耀宇主任介绍,如果不及时解除王女士颅内这颗不定时炸弹,短期内再次破裂的概率仍很高,首先考虑行介入栓塞治疗,避免再次破裂出血危及生命。
当时已经晚上7点多,于耀宇主任无暇晚饭,迅速组织多学科,制定了详细手术方案和应急预案;与王女士家属充分沟通后,定于第二天(11月12日)上午8点,对王女士的脑动脉瘤进行“拆弹行动”。
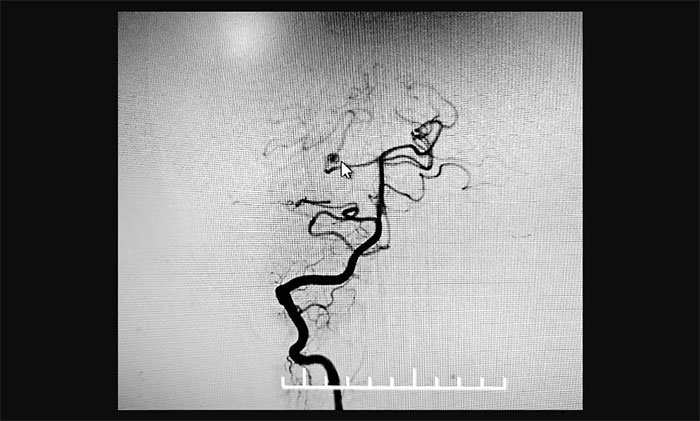
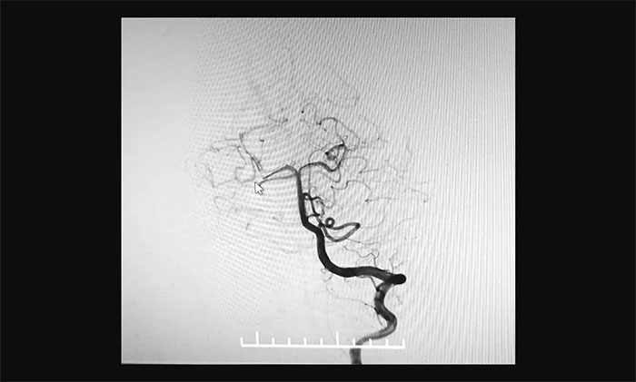
最终,在麻醉科团队及导管室介入团队的密切配合和监护下,神经外科于耀宇主任团队历时2小时,为王女士顺利实施脑血管造影+颅内动脉瘤栓塞术。术中,DSA造影确诊右侧小脑上动脉夹层动脉瘤,动脉瘤瘤体大小约为4x3 mm。术中,于耀宇主任凭借娴熟的技术,克服血管迂曲等困难,将栓塞导管成功送入夹层动脉瘤内,最终顺利栓塞夹层动脉瘤。术后,再次造影未见动脉瘤显影,见远端分支显影良好,“炸弹”危险被成功解除。术后,患者顺利苏醒,无神经功能障碍。
“真的是太谢谢你们了,你们就是我们的大恩人!”术后,王女士家属对于耀宇主任及医护团队表达了真挚感谢。于耀宇主任说:“救死扶伤是医生的神圣职责,这次王女士能脱险除了多学科团队密切配合衔接,也离不开家属的信任和支持!”

▲ 栓塞前

▲ 栓塞后
冬季气温寒冷,要警惕脑动脉瘤等脑血管疾病
于耀宇主任指出,颅内动脉瘤多为发生在颅内动脉管壁上的异常膨出,是造成蛛网膜下腔出血的首位病因,在脑血管意外中,仅次于脑血栓和高血压脑出血,位居第三。任何年龄可发病,多数好发于40至60岁中老年女性。目前造成颅内动脉瘤的病因尚不甚清楚,多数学者认为颅内动脉瘤是在颅内动脉管壁局部的先天性缺陷和腔内压力增高的基础上引起,高血压、脑动脉硬化、血管炎与动脉瘤的发生与发展有关。
如何预防脑动脉瘤?于耀宇主任建议,首先要控制血压,注意动脉硬化的发生;第二要改变现有不良生活习惯,比如嗜酒、高脂、熬夜以及缺乏运动等;第三要尽量保护自己,避免遭受重大外伤,尤其是头颅外伤。此外,冬季天气寒冷,是脑血管疾病的高发期。气温的降低通常会引起血管的收缩,导致血压陡然升高,从而引起急性脑出血的发生,大家在冬季一定要注意及时添置保暖衣物,同时在运动前注意做好热身运动。
于耀宇主任提醒,如果出现头痛症状,尤其是出现不明原因的剧烈头痛,应及时到有资质的医院进行诊治。一旦确诊头痛为动脉瘤破裂出血,应及时手术治疗。
版权声明:部分图片源自摄图网,如有版权纠纷,请及时联系医院。一经查实,将立即删除。
此文章仅作为临床学术研究、学术交流使用!