热播剧《延禧攻略》中,剧中大BOSS辉发那拉·淑慎深陷后宫争斗,落下了头痛的病根。追剧也能追出头痛病来?您还别说,这事可真被60岁的程阿姨摊上了。不过,程阿姨到医院一查,让她头痛的祸害,可不是电视手机看多了这么简单!这事儿,咱还得认真说说。
她自以为头痛跟追剧有关
几乎每个人都有过头痛的经历,许多人会选择吃片止痛药、休息一下来缓解。60岁的程阿姨起初也是打算这么对付过去的。
平日里,喜欢追剧的程阿姨可以连着看几小时的电视和手机。前段时间热播的宫斗剧《延禧攻略》收视率爆棚,程阿姨也紧跟潮流,一集也没拉下。
然而不久之后,一直自觉身体健康的她开始频频头晕头痛起来。“一开始根本没往坏的地方想,在网上查了下,觉得可能是看电视看手机时间太长了。”程阿姨告诉笔者。
突然来袭的头痛,严重影响了程阿姨的生活作息,在自行服用止痛片无效的情况下,她去了当地医院做了检查。这一查,可就查出了大问题——颅内占位性病变!报告结论一出,让一家人的心情瞬间跌落谷底。

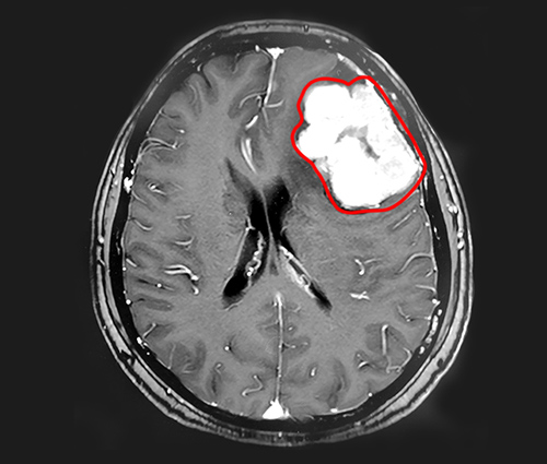
▲MRI影像显示,患者左侧额叶有体积较大的肿瘤
当地的医疗技术水平相对有限,在医生和亲戚朋友的建议下,程阿姨立马选择到上海,到蓝十字脑科医院寻求进一步的治疗。
巨大脑膜瘤被顺利切除
在蓝十字,程阿姨的头颅核磁共振影像显示,患者左侧额叶有巨大团块状异常信号,大小约5.5*4.3*4.8cm,临近的左侧侧脑室受压变窄。在这个肿瘤周围,还有多枚体积较小的肿瘤,具有脑膜瘤的典型特征。

▲沈教授和专家团队讨论评估治疗方案
脑膜瘤是起源于脑膜及脑膜间隙的衍生物,发病率占颅内肿瘤的19.2%,仅次于胶质瘤,居第2位。脑膜瘤虽属于良性肿瘤,生长慢病程长,但其呈膨胀性生长,病人往往以头痛和癫痫为首发症状。根据肿瘤位置不同,还可以出现视力、视野、嗅觉或听觉障碍及肢体运动障碍等。若未及时治疗,患者病情将呈现进行性加重,会导致多种恶性循环的因素,使病情迅速恶化甚至威胁生命。
考虑患者有明显的手术指征,在与患者家属充分沟通并告知手术风险后,上海蓝十字脑科医院神经外科专家沈建康教授为患者进行了脑肿瘤切除手术。

▲沈教授为患者进行肿瘤切除手术
手术过程中,体积最大的肿瘤呈淡灰红色,有包膜,已与患者正常脑组织部分粘连,若强行牵拉可能对患者脑组织造成不可逆的巨大伤害。经验丰富的沈教授在肿瘤囊内分块切除肿瘤,待瘤腔壁塌陷,予电凝分离肿瘤与脑组织的粘连,并断离肿瘤血供。随后,沈教授又完整切除了较小的肿瘤。

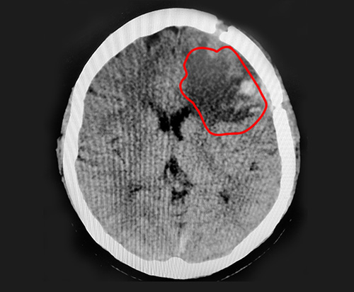
▲术后CT复查影像,巨大脑膜瘤已切除
术后CT复查影像中,巨大的脑膜瘤已被切除。患者乐观开朗的性格,也对其术后恢复起到了良好的推动作用。
术后半个月,程阿姨顺利拆线。“这里医生水平高!就盼着能尽快出院了!”程阿姨盘算着,回去后先好生休养一段时间,要精神满满地走亲戚、迎新年!
沈建康教授指出,与程阿姨情况类似,许多患者是在头痛,甚至轻微头痛时就医,经CT扫描偶然发现了脑膜瘤的存在。正因为脑膜瘤生长相对缓慢,所以肿瘤往往已长得很大,而临床症状还不严重。因此,如果遇到头痛持续时间较长,且症状逐渐加重的情况,患者一定要及时就医,做颅脑影像学检查,确诊病情,早发现早治疗。
此文章仅作为临床学术研究、学术交流使用!